Crowns…

Absolutely
Experience Matters.
0
Crowns cemented... and counting ;)

Your Northlake Dentist

Owners of Today Dental

Today Dental Crowley

Fewer crown appointments

We simplify the crown procedure with cutting-edge technology, reducing appointments which increases efficiency. Spend more time with your family then at the dental office.

Experienced dentists

Passionate about form, function and beauty! Extensive hours in Continuing Education courses and working with local labs = the perfect dental crown. At Today Dental of Northlake, we value this wealth of expertise.

Strongest crowns!

Feel confident smiling again! We never compromise on quality, using the latest technology and products available. Zirconia, porcelain, and gold crowns are available to fit your needs.

Saving money

At Today Dental of Northlake, we optimize our crowns for efficiency, allowing us to keep dental treatment affordable. This guarantees a remarkable dental experience that aligns with your budget.

Conservative treatment

We prioritize conservative dentistry. Our goal is to preserve natural tooth structure through minimally invasive techniques. Our crown treatment focuses on saving tooth structure so you have that tooth for decades to come!

Pain free treatment

Sedation options at Today Dental of Saginaw make for an amazing, painless experience. Call us today to inquire about IV sedation, conscious sedation and nitrous oxide.

Fewer crown appointments

We simplify the crown procedure with cutting-edge technology, reducing appointments which increases efficiency. Spend more time with your family then at the dental office.

Experienced dentists

Passionate about form, function and beauty! Extensive hours in Continuing Education courses and working with local labs = the perfect dental crown. At Today Dental of Northlake, we value this wealth of expertise.

Strongest crowns!

Feel confident smiling again! We never compromise on quality, using the latest technology and products available. Zirconia, porcelain, and gold crowns are available to fit your needs.

Saving money

At Today Dental of Northlake, we optimize our crowns for efficiency, allowing us to keep dental treatment affordable. This guarantees a remarkable dental experience that aligns with your budget.

Conservative treatment

We prioritize conservative dentistry. Our goal is to preserve natural tooth structure through minimally invasive techniques. Our crown treatment focuses on saving tooth structure so you have that tooth for decades to come!

Pain free treatment

Sedation options at Today Dental of Saginaw make for an amazing, painless experience. Call us today to inquire about IV sedation, conscious sedation and nitrous oxide.

Great Crowns are Backed by Great Warranties

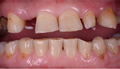
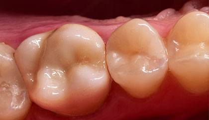
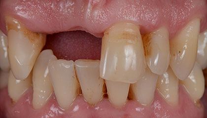
before
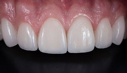
after
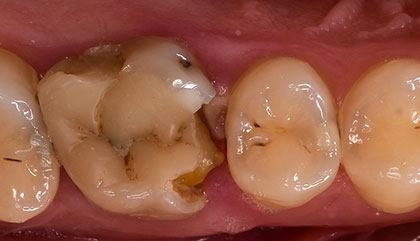
before
after
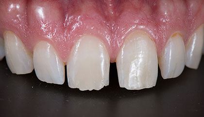
before
after
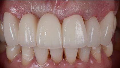
before
after

Opening Hours

DayHours
Monday8:30 a.m. - 5:30 p.m.
Tuesday8:30 a.m. - 5:30 p.m.
Wednesday8:30 a.m. - 5:30 p.m.
Thursday8:30 a.m. - 5:30 p.m.
Friday8:30 a.m. - 3:00 p.m.
Saturday8:00 a.m. - 2:00 p.m.
SundayClosed

YOUR Northlake TEAM

Northlake Office
Northlake Office
Northlake Office
Northlake Office
Northlake Office
Northlake Office
Northlake Office
Northlake Office
Northlake Office
KS
Kristen S.

We took our family to this office today and everyone was so nice. Dr. Zajac was so personable and good with the kids. Everyone was efficient and made sure we were all comfortable and taken good care of! The office has such a welcoming feel to it too, which is always such a plus! We highly recommend this office!

DS
Dustin S.

We are a big Family. We were in and out super fast. Staff was awesome! The doctor was everyone’s kinda guy! Great with the kids! Didn’t try to upsell me. Just did what was needed to be done. Clean and welcoming.

KM
Kacey M.

Great new office opened in Northlake! Dr. Zajak is an awesome doctor.

NW
Nancy W.

Very friendly and professional. We are relatively new to the area. This was my first time here, and I am glad I chose this dentist.

You’ve made it this far. . .

FREE Teeth Whitening

Just ask at your first visit

Your Northlake CROWN & Bridge EXPERTS

Frequently Asked Questions

How long does it take?

Crowns and bridges are typically done in 2 appointments, 2 to 3 weeks apart. Crowns can be done in as little as 2 days based on need (i.e. broken front tooth). There are many dental offices out there providing same days crowns. Same day crowns work in some cases but we’ve learned from our own clinical experience that crowns made in our local lab (and baked at 1,500+ degrees) work better for our patients. At Today Dental of Northlake our priority is durability and fit.

Can I afford a crown?

Yes! Crowns are much less expensive than the alternative (i.e. root canal and crown, implants or dentures). At Today Dental we’ll work within you budget to get you the treatment needed at an affordable price. We have an in-office discount plan (CareDent) for patients without dental insurance and we’ll break up payments so you don’t have to pay it all up front. There are different types of crowns (i.e. metal, gold, porcelain & zirconia). The price varies depending on location in the mouth and type of material used. A cash paying patient can expect to pay between $900 - $1,400 while a patient with dental insurance may pay less.

What to expect on your 1st visit?

At Today Dental of Northlake we pride ourselves on efficiency. Upon arrival you’ll be greeted by name, brought back to the dental chair where x-rays and pictures will be taken of your teeth. The dentist will visit with you and gently probe and ask questions like “Do you have any sensitivity or discomfort?” Finding decay or a fractured tooth may require dental crown treatment. In most cases, we will start treatment same-day (we are Today Dental as you know :). After prepping your tooth for a crown, the dental assistant will make you a temporary crown. An impression will be made of your tooth and you will return in 2 to 3 weeks to have your crown permanently seated in your mouth.

What is a dental bridge?

A dental bridge is similar to a crown except that it spans the gap created by one or more missing teeth. It consists of two or more crowns for the teeth on either side of the gap (abutment teeth) and a false tooth or teeth in between (pontic). The abutment teeth serve as anchors, and the pontic fills the space, restoring the appearance and functionality of the missing teeth. Dental bridges can be made from various materials, such as porcelain, zirconia, metal, or a combination of both, and they are cemented or bonded onto the natural teeth for stability. Dental bridges are a quick and easy way to replace one or two missing teeth. They are not, however, ideal for placing too many missing teeth, which is something a dental professional will need to advise you on.

Why should I get a crown?

At Today Dental of Northlake we always take the conservative approach. Our goal is to save as much natural healthy tooth structure as possible. There is nothing a dentist has that will beat a natural tooth. So, why get a dental crown? It saves teeth! It also saves enamel compared to other options such as implants or dentures where the tooth would be removed entirely. Dental crowns are a simple, quick way to strengthen broken, cracked and decayed teeth. Dental crowns can also be used to improve esthetics and function (chewing).