Dental Cleanings

Never Felt So Clean

Your Northlake Dentist

Owners of Today Dental

Today Dental Crowley

Ultrasonic cleanings

It’s not your grandpa’s cleaning! At Today Dental of Northlake we closely follow and utilize the best dental cleaning techniques and technologies. We use the Cavitron and, if needed, the laser to get a better cleaning in less time!

Saving money

We don’t rush, but have shortened the cleaning appointment by utilizing the latest technology (lasers and ultrasonic scalers). Less time = money saved. We pass those savings to you!

Less time in the dental chair

Experience, technology and efficient patient flow allows us to get you seated quickly, get your teeth cleaned and you’re done. It’s that simple.

Soft touch

No ones likes to be poked and prodded! Heavy-handed dental cleanings are against everything we stand for at your Northlake dentist. Fingertip pressure only so your teeth get cleaned without jumping out of the chair!

Pain free treatment

Not only do we use technology and a soft touch for pain free dental cleanings, we have 3 sedation options at Today Dental of Northlake. IV sedation, conscious sedation and nitrous oxide. If you need it, we have you covered!

Ultrasonic cleanings

It’s not your grandpa’s cleaning! At Today Dental of Northlake we closely follow and utilize the best dental cleaning techniques and technologies. We use the Cavitron and, if needed, the laser to get a better cleaning in less time!

Saving money

We don’t rush, but have shortened the cleaning appointment by utilizing the latest technology (lasers and ultrasonic scalers). Less time = money saved. We pass those savings to you!

Less time in the dental chair

Experience, technology and efficient patient flow allows us to get you seated quickly, get your teeth cleaned and you’re done. It’s that simple.

Soft touch

No ones likes to be poked and prodded! Heavy-handed dental cleanings are against everything we stand for at your Northlake dentist. Fingertip pressure only so your teeth get cleaned without jumping out of the chair!

Pain free treatment

Not only do we use technology and a soft touch for pain free dental cleanings, we have 3 sedation options at Today Dental of Northlake. IV sedation, conscious sedation and nitrous oxide. If you need it, we have you covered!

Better Teeth Better Health

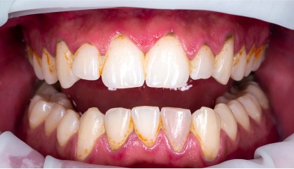
before
after
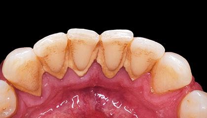
before
after
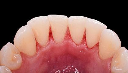
before
after
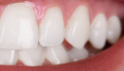
before
after

Opening Hours

DayHours
Monday8:30 a.m. - 5:30 p.m.
Tuesday8:30 a.m. - 5:30 p.m.
Wednesday8:30 a.m. - 5:30 p.m.
Thursday8:30 a.m. - 5:30 p.m.
Friday8:30 a.m. - 3:00 p.m.
Saturday8:00 a.m. - 2:00 p.m.
SundayClosed

YOUR Northlake TEAM

Northlake Office
Northlake Office
Northlake Office
Northlake Office
Northlake Office
Northlake Office
Northlake Office
Northlake Office
Northlake Office
KS
Kristen S.

We took our family to this office today and everyone was so nice. Dr. Zajac was so personable and good with the kids. Everyone was efficient and made sure we were all comfortable and taken good care of! The office has such a welcoming feel to it too, which is always such a plus! We highly recommend this office!

DS
Dustin S.

We are a big Family. We were in and out super fast. Staff was awesome! The doctor was everyone’s kinda guy! Great with the kids! Didn’t try to upsell me. Just did what was needed to be done. Clean and welcoming.

KM
Kacey M.

Great new office opened in Northlake! Dr. Zajak is an awesome doctor.

NW
Nancy W.

Very friendly and professional. We are relatively new to the area. This was my first time here, and I am glad I chose this dentist.

You’ve made it this far. . .

FREE Teeth Whitening

Just ask at your first visit

Your Northlake DENTAL cLEANING EXPERTS

Frequently Asked Questions

Can you really get me in today?

Yes! That’s why they call us Today Dental : ). We’ll get you in today! If by rare chance the office is closed, we’ll get you an appointment with our sister office down the street. We understand your time is valuable and your schedule is busy. For this reason, we’ve saved a space on our schedule just for you. At Today Dental, we plan our daily schedules with the intent of accommodating same day appointments. Call us today to get scheduled.

What is an ultrasonic cleaning?

A dental ultrasonic cleaning is a modern dental hygiene procedure that uses ultrasonic vibrations to remove plaque, tartar, and stains from the teeth. A specialized device generates high-frequency sound waves, creating tiny bubbles in a cleaning solution. As these bubbles implode, they produce shock waves that effectively break down and eliminate the dental deposits, providing a thorough and efficient cleaning process. This technology is often used in conjunction with traditional scaling tools to enhance the overall effectiveness of dental cleanings. This means less pain and discomfort as well as less time in the dental chair.

I may need a “deep cleaning,” can you help?

Absolutely! Our experienced hygienist and dentist have done more scaling and root planings (aka “Deep Cleanings”) then we can count. Scaling and root planing is typically recommended for individuals with gum disease or significant plaque and tartar buildup below the gumline. We will assess your oral health and determine the most appropriate treatment plan based on your individual needs. Customized treatment is our forte at Today Dental of Northlake.

Can I get a regular cleaning when I know I need a “deep cleaning?”

It’s never a good idea to do a prophy (aka “regular cleaning”) when scaling and root planing (aka “deep cleaning”) is needed. Scaling and root planing is needed in cases of periodontal disease, which is a serious condition. Irreversible loss of the jaw bone, bleeding gums, loose teeth and loss of teeth are common symptoms of periodontal disease. Doing a “regular cleaning” on someone with periodontal disease is like trying to put a bandaid on a gunshot wound. In some cases, a debridement can be done. This means we’ll clean the teeth above the gumline in preparation for a 2nd, future appointment, where you would get your scaling and root planing completed.

How long will the appointment take?

A typical dental cleaning appointment with exam and x-rays for an existing patient (recall visit) is 1 hour. For a new patient, the average time is 1.5 hours. Scaling and root planing is typically scheduled for a separate visit. This appointment can take as little as 1 hour or up to 3 hours for the appointment, depending on the severity and areas needing to be cleaned.