Implant Dentures & All-on-4s...

No More Wobble!
Experience Matters.
0
Delivered dentures... and counting ;)

Your Northlake Dentist

Owners of Today Dental

Today Dental Crowley

Experienced dentists

You’re in Luck! Our doctor has worked with the world’s leading prosthodontists and labs to ensure strong and stable implant dentures and All-on-4s. At Today Dental of Northlake we value this unmatched experience.

Long- lasting All-On-4

Feel confident eating! Whether it’s an implant retained denture, overdenture or All-on-4, never worry about loose teeth again! Snap-on, screw retained and cemented options available.

Best price in town!

At Today Dental of Northlake, we are streamline and efficient which keeps costs extremely low, passing the savings on to you. This means you’ll get teeth replaced at a cost you can afford.

Never going without teeth again

Get the smile you’ve always wanted. We understand sometimes teeth need to be removed. If this is you, we’ll make sure you leave with teeth the same day.

Less implant denture appointments

We’ve made the denture process easy. More efficient, less appointments = More time doing what you love.

Snug, stable and strong dentures

Get back to living life to the fullest. Don’t let loose dentures or missing teeth get in the way of that. We prioritize fit and beauty. Stable dentures is what we do!

Who’s ready for Steak?

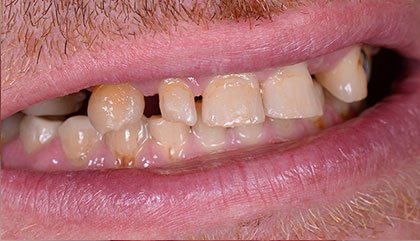
before
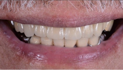
after
before
after
before
after
before
after

Opening Hours

DayHours
Monday8:30 a.m. - 5:30 p.m.
Tuesday8:30 a.m. - 5:30 p.m.
Wednesday8:30 a.m. - 5:30 p.m.
Thursday8:30 a.m. - 5:30 p.m.
Friday8:30 a.m. - 3:00 p.m.
Saturday8:00 a.m. - 2:00 p.m.
SundayClosed

YOUR Northlake TEAM

Northlake Office
Northlake Office
Northlake Office
Northlake Office
Northlake Office
Northlake Office
Northlake Office
Northlake Office
Northlake Office
KS
Kristen S.

We took our family to this office today and everyone was so nice. Dr. Zajac was so personable and good with the kids. Everyone was efficient and made sure we were all comfortable and taken good care of! The office has such a welcoming feel to it too, which is always such a plus! We highly recommend this office!

DS
Dustin S.

We are a big Family. We were in and out super fast. Staff was awesome! The doctor was everyone’s kinda guy! Great with the kids! Didn’t try to upsell me. Just did what was needed to be done. Clean and welcoming.

KM
Kacey M.

Great new office opened in Northlake! Dr. Zajak is an awesome doctor.

NW
Nancy W.

Very friendly and professional. We are relatively new to the area. This was my first time here, and I am glad I chose this dentist.

You’ve made it this far. . .

FREE Denture Cleaning

Just ask at your first visit

Your Northlake DENTURE EXPERTS

Frequently Asked Questions

How long does it take?

Dentures can be crafted in just two appointments, a considerably shorter time frame compared to dental implants, which may take over a year. If you have a social event approaching and need immediate tooth replacement, we've got you covered! Inform your doctor, and they can expedite the process with a 'Rush Order,' often providing tooth replacement options within 1-2 days. The average time for dentures involves three appointments over a 3-4 week period. Key factors influencing the timeline include whether it's a replacement or a new denture (replacing is faster), healing time for extractions, and the type of denture (full or partial). Rest assured, our one flat fee guarantee ensures no additional costs for appointments.

What is the cost?

Dentures provide a cost-effective solution for tooth loss, often presenting a more budget-friendly option, particularly with insurance considerations. Both full and partial dentures tend to be more economical than alternative tooth replacement methods, even when factoring in replacement every 5-10 years. Denture costs typically range from ~$550 (flipper) to ~$2,000 (full premium denture, excluding tooth extraction). Several factors influence denture costs, including the number of missing teeth, the type of denture (long-term vs. temporary), timing of placement (immediate vs. replacement), material (standard vs. premium), and the impact of dental insurance. For those without insurance, inquire about our In-Office Discount Plan (CareDent).

What to expect at your 1st visit?

The doctor will discuss treatment options, outlining the process, timing, and associated costs. In most cases, the doctor or assistant will take an impression that same day to kickstart the denture fabrication process, thus reducing your number of total office visits. At Today Dental of Northlake we like to start Today! More efficient and less cost means we can pass those savings on to you!

Why should I get a Denture?

Opting for dentures can significantly enhance your quality of life by restoring your ability to eat, speak, and smile with confidence. Whether you're missing a few teeth or require a full set, dentures offer a versatile and affordable solution. Beyond their functional benefits, dentures can positively impact your facial structure, maintaining natural contours and preventing the sagging that can occur with tooth loss. With various options available, including full dentures, partial dentures, and implant-supported dentures, you can choose the option that best suits your needs and lifestyle. At Today Dental of Northlake we’ll get you the smile you’ve always wanted!

Do you repair dentures?

Absolutely! At Today Dental of Northlake, we prioritize efficiency, aiming to repair your full or partial denture in just 1-2 days in most cases. Our approach is conservative, focusing on preserving and fixing whenever possible. If your denture is repairable, that's our first choice. Repairs are generally straightforward, swift, and more cost-effective than opting for a replacement. Your satisfaction and convenience are our top priorities!